Due magneti per riaprire un dotto biliare

Eseguito con successo eccezionale intervento in piena emergenza Covid-19. Protagonista l’equipe multidisciplinare di endoscopisti e radiologi interventisti della Fondazione Policlinico Universitario Agostino Gemelli IRCCS coordinati dal professor Guido Costamagna.
Riaperto con un metodo innovativo il dotto biliare di un paziente con una condizione clinica molto difficile, già sottoposto a due trapianti di fegato. È l’eccezionale intervento (prima volta in Europa e in America) al tempo dell’emergenza Covid-19 effettuato con successo da una equipe multidisciplinare di endoscopisti e radiologi interventisti della Fondazione Policlinico Universitario Agostino Gemelli IRCCS coordinata dal professor Guido Costamagna.
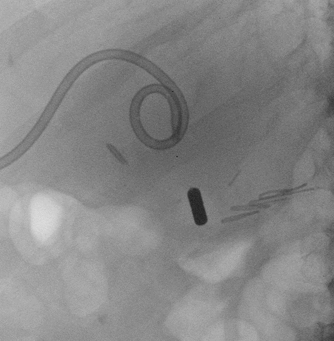
Il passaggio della bile, chiuso da una cicatrice invalicabile, è stato riaperto dalla forza di due piccoli magneti, che attraendosi l’un l’altro hanno ristabilito la continuità del dotto. L’intervento urgente e mini-invasivo di ricanalizzazione di una stenosi (restringimento) ‘invalicabile’ è lo straordinario traguardo clinico raggiunto nonostante l’emergenza Covid-19.
Nel trapianto di fegato la via biliare del donatore viene suturata a quella del ricevente (anastomosi): il restringimento di questa zona suturata è la complicanza più frequente (oltre il 10%) e avviene per un eccesso di cicatrizzazione. Dopo l’insuccesso nel superamento della ‘stenosi dell’anastomosi biliare’ con metodi endoscopici e radiologici “convenzionali”, l’equipe multidisciplinare guidata dal professor Guido Costamagna, Ordinario di Chirurgia Generale all’Università Cattolica e direttore dell’Unità Operativa di Endoscopia Digestiva Chirurgica del Gemelli, ha posizionato nelle vie biliari, a monte e a valle della stenosi, due piccoli magneti: quello inferiore tramite endoscopia e quello superiore attraverso il fegato, dopo puntura delle vie biliari dalla cute, in contemporanea. I due magneti, attraendosi, hanno determinato, in un paio di settimane, la riapertura (ricanalizzazione) del tratto biliare completamente occluso per compressione del tessuto cicatriziale, permettendo la successiva inserzione di protesi di plastica multiple per mantenere aperto il canale.
Ciò ha permesso la risoluzione della patologia che avrebbe richiesto altrimenti un complesso e rischioso, ennesimo intervento chirurgico. Pochi interventi simili sono stati eseguiti in Cina, Giappone, Corea e Turchia; si tratta quindi del primo intervento di questo tipo eseguito con successo in Europa e America grazie a metodiche innovative, peraltro ai tempi di Covid-19.
“La pandemia da virus SARS-Cov2 ha determinato profondi mutamenti anche nell’attività clinica dell’Endoscopia Digestiva del Gemelli, struttura ad altissima specializzazione e centro di riferimento nazionale e internazionale, in grado di eseguire oltre 22.000 prestazioni all’anno. “In questo periodo di emergenza sanitaria – spiega il professor Costamagna – l’attività si è limitata alle urgenze e ai casi non procrastinabili, in particolare per i pazienti oncologici. Sono state allestite due sale endoscopiche, una al Gemelli e l’altra nel Columbus Covid 2 Hopsital esclusivamente dedicate a pazienti affetti da Coronavirus, trattati garantendo al massimo tutte le misure precauzionali sia di protezione individuale del personale, sia di sanificazione e disinfezione delle sale e delle strumentazioni”. Anche i percorsi, i criteri di selezione dei pazienti e tutte le procedure di accettazione e di dimissione dal Centro di Endoscopia Digestiva Chirurgica “sono state rimodulate in funzione del rischio di diffusione virale. Insomma, stiamo imparando ad agire, a muoverci e a pensare in maniera diversa per garantire ancora di più a tutti i pazienti il meglio delle cure nella massima sicurezza”, conclude Costamagna.
Nella foto in alto l’equipe dell’UOC di Endoscopia Digestiva Chirurgica del Gemelli che ha eseguito l’intervento. Da sinistra: dottor Andrea Tringali, professor Vincenzo Perri, professor Guido Costamagna, dottor Alessandro Cina, dottor Ivo Boškoski.




Immagine radiologica dei magneti in fase di attrazione 
Immagine radiologica dei magneti a contatto









